瑞士专家 · EDiNR认证 · 20余年经验 · FMH认证
脑部MRI第二意见避免不必要的脊柱手术多发性硬化MRI第二意见垂体瘤 · 脑膜瘤 · 肿瘤脑部MRI高级神经影像脊柱MRI复查
神经放射学。
EDiNR和瑞士FMH亚专科
第二意见。
由瑞士EDiNR和FMH认证的亚专科医师提供独立的神经放射学及脊柱MRI第二意见——在瑞士大学三级医院完成培训。脑部和脊柱影像、多发性硬化及血管神经放射学。24–48小时内出具结构化报告。
20+
年经验
24–48h
报告交付
EDiNR
认证
100%
符合GDPR

Dr. Ali Rahman
神经放射科主任 · RadiologyCheck · EDiNR · FMH认证
20余年脊柱、脑部及血管神经放射学经验
EDiNR — 欧洲神经放射学文凭
FMH认证 — 瑞士放射学委员会
国际神经影像学术发表
脑肿瘤 · 脊柱 · 脑卒中 · 多发性硬化 · 血管
Swisscom云端PACS
符合GDPR
瑞士数据托管
20余年经验
EDiNR认证
对您的
神经放射学结果获得明确解读。
来自亚专科医师对您神经放射影像的细致阅片。每项发现均结合临床背景。24–48小时交付。
避免不必要的脊柱手术
- 颈椎影像 — 细致的亚专科复查
- 椎管狭窄 — 了解您的影像结果
- 脊椎滑脱 — 结合临床背景的亚专科判读
- 椎间盘膨出 — 专家影像分析
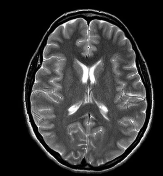
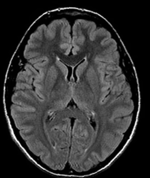
脑部MRI第二意见
- 白质病变 — 它们意味着什么?
- 多发性硬化MRI第二意见
- 高级神经影像脑部MRI复查 · 复杂神经系统病例
- 复杂脑部病变诊断明确化
肿瘤和病变明确化
- 垂体瘤第二意见
- 脑膜瘤第二意见
- 早期发现。
- 独立的结构化专家复查
椎间盘突出 · 是否需要手术?
- 在临床背景下审阅椎间盘突出影像
- 神经压迫评估
- 手术合理性明确化 — 基于循证医学
- 骨科影像专家分析
术前审阅计划
- 脑部MRI计划 — 专科医师对接
- 亚专科复查以辅助您的主治医师
- 独立的瑞士专家 — 无利益冲突
- 结构化PDF可直接提供给您的外科医生
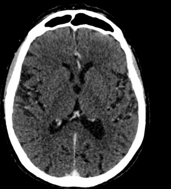
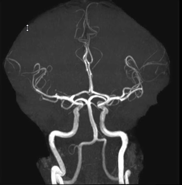
血管和脑卒中影像
- 脑卒中影像 — 快速准确判读
- 动脉瘤和血管畸形诊断
- 血管神经放射学专业知识
- 面向临床医生和患者 — 全球可及,瑞士品质

20+年经验
您的专家
Dr. Ali Rahman
神经放射科主任 · RadiologyCheck · EDiNR · FMH认证
在大学三级医院完成培训,持有瑞士FMH认证和欧洲神经放射学文凭 (EDiNR)。他对每一例神经放射病例都采取细致、系统的方法——对脑肿瘤、脊柱影像、多发性硬化和血管发现给予亚专科级别的关注。每一张影像都以应有的时间和专注来阅读。
20余年脊柱、脑部及血管神经放射学经验
EDiNR — 欧洲神经放射学文凭
FMH认证 — 瑞士放射学委员会
脑肿瘤 · 脊柱 · 多发性硬化 · 脑卒中影像
国际神经影像学术发表
脑部、脊柱和血管影像亚专科方向
"每一张扫描背后都是一个人。每一项神经放射学发现都值得细致的亚专科关注——在临床背景下解读,而非孤立看待。"
脑部。脊柱。血管。
亚专科精准度。
从脑部病变到脊柱影像——无论发现在哪里,都有细致的亚专科阅片。

脑部MRI

颈椎

腰椎

脑肿瘤

血管神经放射学

多发性硬化与白质病变

脊柱手术复查

脑部检查计划
服务流程三个步骤。
三个步骤。
完全透明。
简单、安全——从提交文件到亚专科报告仅需24–48小时。
1
提交您的病例
通过我们安全的Swisscom平台上传脑部或脊柱MRI DICOM文件。符合GDPR。仅需不到3分钟。
2
亚专科审阅
我们的神经放射亚专科医师凭借20余年的模式识别经验阅读您的脑部或脊柱MRI——区分临床显著发现和偶发发现。
3
接收您的报告
24–48小时内出具结构化PDF报告。清晰、可操作、可分享给您的神经外科医生、神经内科医生或骨科脊柱外科医生。
如何提交
您的病例。
分步上传指南 · 2分钟
点击观看上传指南
简便上传。
快速出结果。
安全提交您的脑部或脊柱MRI DICOM文件。立即收到确认,24–48小时内收到神经放射亚专科报告。
1
访问平台
前往 medicalexchange.ch/radiologycheck 并输入您的邮箱。
2
上传您的DICOM文件
拖放您的MRI文件。支持DICOM、JPEG和ZIP格式。
3
接收您的报告
我们的神经放射学专家审阅您的病例。24–48小时内出具结构化报告。
上传指南 — 分步说明
PDF · 英文 · 7个步骤★★★★★
“我以前从未遇到过如此细致和快速回复的医疗专业人员。希望美国也有这样的专业人员。此外,他们非常理解我特殊的经济状况,我符合他们的公益项目条件,所以一切费用全免。这是迄今为止我最好的医疗体验,让我对自己的健康状况和下一步行动更加有信心。我强烈推荐他们——10分满分!”
Aditi · 多发性硬化患者,加拿大
Google评价 · 5星
Google评价 · 5星
价格透明公开。
透明公开。
没有隐藏费用。
所有套餐均包含由我们EDiNR认证亚专科医师出具的完整结构化神经放射学报告。机构选项可按需提供。
对您的
神经放射学结果有疑虑?
获取亚专科明确解读。
安全提交您的DICOM文件,24–48小时内获得瑞士EDiNR认证神经放射科医师出具的独立结构化报告。
